Issue Details

Cover
February, 2014

Volume: 2, Issue: 1

📅 Published on: 05 Feb 2014

Articles in this Issue

1. 5 Feb, 2014 Research Article
Low Temperature Synthesis of MPA Capped ZnS Quantum Dots and its Characterization Studies

Authors: K. Senthilkumar, K. Ramamurthi, T. Kalaivani, V. Balasubramanian

DOI: | Pages: 1-5

Article Image
2. 5 Feb, 2014 Research Article
Spectral Linearity of some (E)-3-Thieny l Chalcones

Authors: R. Arulkumaran, S.Vijayakumar, R. Sundararajan, D. Kamalakkannan, K. Ranganathan, R. Suresh, S. P. Sakthinathan, G. Vanangamudi, G. Thirunarayanan

DOI: | Pages: 6-15

Article Image
3. 5 Feb, 2014 Research Article
Evaluation of Air Pollution Tolerance Indices of Plant Species Growing in the Vicinity of Cement Industry and Yogi Vemana University Campus

Authors: G. Buchchi Babu, S. Nazaneen Parveen, K. Naveen Kumar, M. Sridhar Reddy

DOI: | Pages: 16-20

Article Image
4. 5 Feb, 2014 Research Article
Improved Pervaporation Performance of 13X Zeolite Filled Chitosan Membranes

Authors: H. Sudhakar, Y. Maruthi, U. Sajan Kumarji Rao, C. Venkata Prasad, M.C.S.Subha, S. Sridhar, K. Chowdoji Rao

DOI: | Pages: 21-31

Article Image
5. 5 Feb, 2014 Research Article
Anthraquinone Benzylthiosemicarbazone Cr (III) Complex as a Potential anti-Cancer Drug-Characterization and Activity

Authors: J. Sai Chandra, Y.A.S.J. Prasanna Kumari, P.N.V.V.L. Prameela Rani, Y. Sunandamma

DOI: | Pages: 32-37

Article Image
6. 5 Feb, 2014 Research Article
Development and Characterization of Hydroxy Propyl Cellulose/Poly(vinyl alcohol) Blends and Their Physico-Chemical Studies

Authors: K. Sudarsan Reddy, M.N. Prabhakar, K. Madhusudana Rao, D.M. Suhasini,V. Naga Maheswara Reddy, P. Kumara Babu, K. Sudhakar, A. Chandra Babu,.M.C.S. Subha, K. Chowdoji Rao

DOI: | Pages: 38-45

Article Image
7. 5 Feb, 2014 Research Article
Development and Validation of HPLC Assay Method for the Acamprosate Ca in Commercial Tablets

Authors: C. Babu, B. Sreenivasa Rao, K.V.N. Suresh Reddy, B. Naganjaneyulu

DOI: | Pages: 46-49

Article Image
8. 5 Feb, 2014 Research Article
Controlled Release of Hypertensive Drug from pH/Thermo Responsive Polymeric Microbeads

Authors: P.Sudhakar, K. Madhusudana Rao, S. Siraj, A. ChandraBabu, K. Chowdoji Rao, M.C.S. Subha

DOI: | Pages: 50-56

Article Image
9. 5 Feb, 2014 Research Article
Montmorillonite K10 as Highly Efficient Catalyst for the Synthesis of Phenols from Arylboronic Acids

Authors: H. Sudhakar, G. Pavana Kumari, Naveen Mulakayala

DOI: | Pages: 57-61

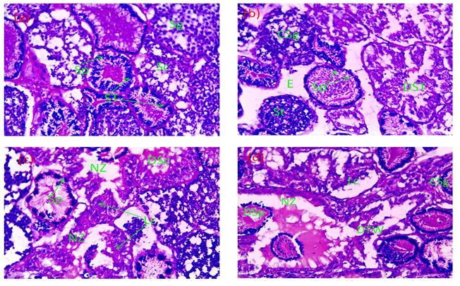
Article Image
10. 5 Feb, 2014 Research Article
Impacts and Impairments of Atrazine on Male Poecilia Sphenops

Authors: S. Vasanth, Arul Ganesh, T. Siva Vijayakumar, S. Karthikeyeni, M. Manimegalai, P. Subramanian

DOI: | Pages: 62-70

Article Image
11. 5 Feb, 2014 Research Article
Seasonal variation of mineral assemblage along the west coast of Kanya Kumari District

Authors: K.C. Vinoth Kumar, T. Asaithambi

DOI: | Pages: 71-77

Article Image
12. 5 Feb, 2014 Research Article
Fluoride Contamination in Groundwater in and Around Badvel, Kadapa District, Andhra Pradesh

Authors: V. Sunitha, J. Abdullah Khan, B. Muralidhara Reddy

DOI: | Pages: 78-82

Article Image
13. 5 Feb, 2014 Research Article
Effect of Surfactant on the Chemical Polymerization of o-Phenylenediamine- A Comparative Study

Authors: S. Archana, R. Jaya Shanthi

DOI: | Pages: 83-88

Article Image